Forum Fundacji Warta Goldena Strona GłównaForum Fundacji Warta Goldena Strona Główna
FAQ  Szukaj  Użytkownicy  Grupy Rejestracja  Chat  Zaloguj

Poprzedni temat :: Następny temat
BAMBERIX ma już dom w Gliwicach - 720
Autor Wiadomość
Kamila i Oskar 
WARTA GOLDENA

Wiek: 47
Dołączyła: 19 Maj 2011
Posty: 7078
Skąd: Jelenia Góra
Wysłany: 2022-12-12, 07:34   BAMBERIX ma już dom w Gliwicach - 720

Pod opiekę fundacji trafił 8-letni chłopak , psiak został odebrany ze złych warunków i przekazany nam pod opiekę.
Bomberix zamieszkał u Pani Bożeny w Lublińcu
Bardzo dziękujemy, że zgodziła się Pani go przyjąć i pokonać sporą trasę aby go odebrać osobiście :kwiatek:

Pies jest w bardzo złym stanie fizycznym .a stan jego sierści i ilość kołtunów zmusił opiekunkę do szybszej wizyty u grommera , któremu też należą się podziękowania, bo wyszorował nam Bamberka całkiem za darmo :lol:
Psi Patrol - Pani Kasiu :kwiatek:
https://www.facebook.com/salonpsipatrol
_________________
Kamila i Oskar
India 2003-2012[*]
 
 
 
Kamila i Oskar 
WARTA GOLDENA

Wiek: 47
Dołączyła: 19 Maj 2011
Posty: 7078
Skąd: Jelenia Góra
Wysłany: 2022-12-30, 10:56   

Wieści od Bomberka

Cytat:
Hej, jesteśmy wczoraj i dzisiaj po wizycie u weta. Dziś Boberix miał pobraną krew i zrobione prześwietlenie. Jutro beda eyniki. Z wstępnych oględzin stan jest dobry, ma prawidłową wagę, stan oczu, uszu, odbytu jest wporzadku. Stawy biodrowe i kręgosłup jak na wiek bardzo, weterynarz stwierdził, że ma więcej niż osiem lat. Jak będę miała wszystkie wyniki i opis zdjęć rtg to wszystko Ci wyślę na maila. Na dzień dzisiejszy szukamy przyczyny ciągłych bąków 🙊 ale może wyjdzie coś z krwi.

Na sercu wyszły jakieś szmery, lecz na razie nie mamy się tym martwić ponieważ to zleży od wieku psa lub jego uearunkowan genetycznych. Bomberix jest bardzo łagodny i do prześwietlenia nie trzeba było go usypiać więc dla tego wykonaliśmy to już teraz ponieważ ze względu na nietabilnie tylnie łapy zależało mi aby wiedzieć co jest tego przyczyną.
_________________
Kamila i Oskar
India 2003-2012[*]
 
 
 
Ania i Lusia 
WARTA GOLDENA

Dołączyła: 03 Sty 2020
Posty: 10
Skąd: Sochaczew
Wysłany: 2023-01-02, 15:02   

Akurat tymi szmerami bym się zajęła; tłumaczenie, że wiek i predyspozycje robią swoje, nie powinno być uspokajające. To słowa ogólnego lekarza, czy kardiologa? Nam zwykły weterynarz też mówił, że nie ma powodów do obaw, bo w tym wieku tak się zdarza (tu sytuacja odwrotna, bo Lusia była szczeniakiem), jednak inny skierował od razu do kardiologa; diagnoza - bardzo poważna wada serca. Z doświadczenia opiekuna psa sercowego - sprawdźcie to, bo zmiany na sercu mogą rzutować na cały organizm.
 
 
KasiaDudek 

Wiek: 33
Dołączyła: 14 Sty 2023
Posty: 1
Skąd: Chrzanów
Wysłany: 2023-01-14, 20:54   

Ania i Lusia napisał/a:
Akurat tymi szmerami bym się zajęła; tłumaczenie, że wiek i predyspozycje robią swoje, nie powinno być uspokajające. To słowa ogólnego lekarza, czy kardiologa? Nam zwykły weterynarz też mówił, że nie ma powodów do obaw, bo w tym wieku tak się zdarza (tu sytuacja odwrotna, bo Lusia była szczeniakiem), jednak inny skierował od razu do kardiologa; diagnoza - bardzo poważna wada serca. Z doświadczenia opiekuna psa sercowego - sprawdźcie to, bo zmiany na sercu mogą rzutować na cały organizm. https://www.audytpsycholo...e-jak-rozpoznac

https://piosenki-religijne.pl/
Dokładnie. Szmery w sercu psa to nienormalne dźwięki, które mogą wskazywać na problem z zastawkami lub komorami serca. Dźwięki te powinny zostać ocenione przez lekarza weterynarii, ponieważ mogą być oznaką poważnego stanu, takiego jak choroba serca. Opcje leczenia będą zależeć od podstawowej przyczyny szmeru.
 
 
Asia+Kudłacze 
WARTA GOLDENA

Wiek: 37
Dołączyła: 19 Wrz 2018
Posty: 1820
Skąd: Ignalin
Wysłany: 2023-02-01, 20:43   

Bomberix w domku tymczasowym:)

received_1175813986630611_resize_89.jpg
Plik ściągnięto 2838 raz(y) 48.23 KB

received_1234911187101459_resize_64.jpg
Plik ściągnięto 2838 raz(y) 48.32 KB

received_1185216455693110_resize_85.jpg
Plik ściągnięto 2838 raz(y) 50.9 KB

received_2346185748899979_resize_59.jpg
Plik ściągnięto 2838 raz(y) 45.98 KB

received_5977328185687884_resize_15.jpg
Plik ściągnięto 2838 raz(y) 43.32 KB

received_611178611021676_resize_59.jpg
Plik ściągnięto 2838 raz(y) 45.55 KB

received_902208237714166_resize_21.jpg
Plik ściągnięto 2838 raz(y) 62.11 KB

received_1340512736710662_resize_50.jpg
Plik ściągnięto 2838 raz(y) 31.79 KB

received_2545222635634847_resize_50.jpg
Plik ściągnięto 2838 raz(y) 61.51 KB

_________________
Tosia/Prezes/Leon/Bruno/Niunia

Tofik za TM...
 
 
Kamila i Oskar 
WARTA GOLDENA

Wiek: 47
Dołączyła: 19 Maj 2011
Posty: 7078
Skąd: Jelenia Góra
Wysłany: 2023-03-07, 12:13   

Bomberix dzisiaj miał mieć wizytę u kardiologa i badanie serduszka ale niestety została odwołana, a bez tego weterynarz się nie podejmie się kastracji.
A tak to u chłopaka wszystko dobrze, dogaduje się z suczka rezydentką i razem wymuszają smaczki :)
_________________
Kamila i Oskar
India 2003-2012[*]
  
 
 
 
Kamila i Oskar 
WARTA GOLDENA

Wiek: 47
Dołączyła: 19 Maj 2011
Posty: 7078
Skąd: Jelenia Góra
Wysłany: 2023-03-08, 10:48   

Bomerix już po badaniu kardiologicznym , udało się załatwić w innej klinice.
Cytat:
Rozpoznanie: łagodne zwężenie aorty , brak cech przeciążenia mięśnia sercowego , brak konieczności wprowadzenia farmakoterapii, brak p/wskazań do znieczulenia.
Pacjenta preksygenować , nie stosować ketaminy i atropiny.

Jest to mała "wada" wrodzona, z którą może żyć spokojnie jeszcze długie lata :)
_________________
Kamila i Oskar
India 2003-2012[*]
  
 
 
 
Ania i Lusia 
WARTA GOLDENA

Dołączyła: 03 Sty 2020
Posty: 10
Skąd: Sochaczew
Wysłany: 2023-03-08, 11:33   

Kamila i Oskar napisał/a:
Bamerix już po badaniu kardiologicznym , udało się załatwić w innej klinice.
Cytat:
Rozpoznanie: łagodne zwężenie aorty , brak cech przeciążenia mięśnia sercowego , brak konieczności wprowadzenia farmakoterapii, brak p/wskazań do znieczulenia.
Pacjenta preksygenować , nie stosować ketaminy i atropiny.

Jest to mała "wada" wrodzona, z którą może żyć spokojnie jeszcze długie lata :)


Moja Lusia ma tę samą wadę, jednak bardziej zaawansowaną. U nas rokowania są ostrożne.
 
 
Kamila i Oskar 
WARTA GOLDENA

Wiek: 47
Dołączyła: 19 Maj 2011
Posty: 7078
Skąd: Jelenia Góra
Wysłany: 2023-03-23, 19:38   

Bomberix przeszedł dziś zabieg kastracji.
Wszystko przebiegło dobrze i bez komplikacji.
Teraz chłopak odpoczywa już w domku.
Za dwa tygodnia zdjęcie szwów.
_________________
Kamila i Oskar
India 2003-2012[*]
  
 
 
 
Enka_Arka_Sanka 
WARTA GOLDENA

Wiek: 35
Dołączyła: 25 Sty 2023
Posty: 766
Skąd: Gliwice
Wysłany: 2023-03-24, 13:52   

Świetna wiadomość :)
3mamy kciuki za dzielnego pacjenta !
_________________
Enka_i_piesełki
 
 
Kamila i Oskar 
WARTA GOLDENA

Wiek: 47
Dołączyła: 19 Maj 2011
Posty: 7078
Skąd: Jelenia Góra
Wysłany: 2023-04-14, 10:11   

Cytat:
Serdecznie witamy i wiesci od Bomberixa przesyłamy, jesteśmy już po kastracji i czujemy się dobrze, mamy ogromny apetyt, ale z jedzeniem musimy bardzo uwazać bo podjadanie posiłków od czlowieka kończy sie biegunką i bączkami, jeżeli chodzi o tylnie łapki w dalszym ciągu słabe, ale ich stan się nie pogarsza, uwielbia spacery, ale krótkie dostanse, obecnie dostaje suplementy witaminek (dziękujemy Pani Ewelinie 🙂) jest zaszczepiony i odrobaczony, kochany, grzeczny i bardzo usłuchany, nie sprawia żadnych problemów wychowawczych, pilnuje posesji i z niecierpliwością czeka na nas kiedy wrócimy do domu. Z informacji zdrowotnych to należy kontrolować poziom białka w moczu oraz tsh i co jakiś czas serce pod kątem tej zwężonej aorty. Pani Karolina zasugerowała, że warto by go jeszcze skonsultować ortopedycznie.
_________________
Kamila i Oskar
India 2003-2012[*]
 
 
 
Kamila i Oskar 
WARTA GOLDENA

Wiek: 47
Dołączyła: 19 Maj 2011
Posty: 7078
Skąd: Jelenia Góra
Wysłany: 2023-04-14, 10:19   

_________________
Kamila i Oskar
India 2003-2012[*]
 
 
 
Kamila i Oskar 
WARTA GOLDENA

Wiek: 47
Dołączyła: 19 Maj 2011
Posty: 7078
Skąd: Jelenia Góra
Wysłany: 2023-04-14, 10:20   











_________________
Kamila i Oskar
India 2003-2012[*]
 
 
 
Enka_Arka_Sanka 
WARTA GOLDENA

Wiek: 35
Dołączyła: 25 Sty 2023
Posty: 766
Skąd: Gliwice
Wysłany: 2023-04-15, 14:56   

dobrze widzieć Bomberka :serce:
chociaż martwią mnie te tylne łapki...

Nie wiem na ile Pani Bożena jest mobilna ale mam 26.04 wizytę kontrolną u dra Bissenika (Warszawa) i chętnie oddamy ten termin Bomberkowi :)
_________________
Enka_i_piesełki
 
 
Kamila i Oskar 
WARTA GOLDENA

Wiek: 47
Dołączyła: 19 Maj 2011
Posty: 7078
Skąd: Jelenia Góra
Wysłany: 2023-06-01, 14:27   

Bomberix w niedziele jedzie do nowego domu!!!

Nasza Ewelinka już z dawno temu się w nim zakochała i jak zapoznanie jej dziewczynkami przebiegło bez problemów uznała ,że nie ma na co czekać :lol:
Powodzenia i czekamy na relacje i fotki - duuużo !

Bożence i jej rodzinie dziękuje za troskliwą opiekę nad chłopakiem :kwiatek:
_________________
Kamila i Oskar
India 2003-2012[*]
 
 
 
Enka_Arka_Sanka 
WARTA GOLDENA

Wiek: 35
Dołączyła: 25 Sty 2023
Posty: 766
Skąd: Gliwice
Wysłany: 2023-06-04, 12:37   

Dzisiaj jest TEN DZIEŃ tzn Bamberix zamieszkał z nami w Gliwicach :lol:
Podróż przebiegła ok, choć chłopak dyszał i był niespokojny.
Po przyjeździe zrobił obchód domu i ogródka i powoli zaprzyjaźnia się z dziewczynami :rotfl:
Teraz całe stadko śpi ...

We wtorek czeka nas wizyta u naszego weterynarza - zdam relacje ;-)

350861422_794016212387596_2064300587019231948_n.jpg
Plik ściągnięto 16 raz(y) 134.73 KB

350367412_619199150176769_2449839985970044923_n.jpg
Plik ściągnięto 10 raz(y) 49.41 KB

_________________
Enka_i_piesełki
 
 
Enka_Arka_Sanka 
WARTA GOLDENA

Wiek: 35
Dołączyła: 25 Sty 2023
Posty: 766
Skąd: Gliwice
Wysłany: 2023-06-10, 21:36   

Miałam zdać relacje odnośnie wizyty u weta i... tak jakoś zleciało :roll:

Bamberix to pacjent idealny - ze stoickim spokojem daje się zbadać i zajrzeć w różne części ciała :)
Podczas wizyty omówiliśmy ostatnie badania krwi - Pani weterynarz zaleciła suplementy wspomagające pracę wątroby i wykonanie rozszerzonych badań za ok miesiąc.
Zbadaliśmy też oczka - niestety widać początki zaćmy :cry: Bamberek widzi ale nie jest to wzrok młodzieniaszka ... Na tą chwilę mamy podawać Wyzium i umówić się na konsultację okulistyczną.
Z dobrych wiadomości zostałam uspokojona jeśli chodzi o problemy skórne - modzele będziemy smarować Elastopadem a wyłysienie na ogonku może być "pamiątką" po tarczce hormonalnej lub jakimś urazie (je również wystarczy smarować).
Doszczepiliśmy się na choroby zakaźne (w tym leptospirozę).

Przed nami wizyta u groomera (coby chłopak się pięknie prezentował w wakacje), u ortopedy i właśnie okulisty.

Jeszcze ponarzekam niestety Bamberek nie chce spać na swoim legowisku :uoee: Woli płytki, dywaniki i wszystko co legowiskiem nie jest..

Pozdrawiamy z naszym dostojnym Rudaskiem !

351716156_968385114486752_3797721130379976828_n(1).jpg
Plik ściągnięto 9 raz(y) 31.56 KB

_________________
Enka_i_piesełki
 
 
Enka_Arka_Sanka 
WARTA GOLDENA

Wiek: 35
Dołączyła: 25 Sty 2023
Posty: 766
Skąd: Gliwice
Wysłany: 2023-06-16, 20:19   

Miało nie być Bamberkowego spamu ... :roll:

Pochwalę się tylko, że dzisiaj byliśmy u groomera, gdzie zrobili naszego chłopaka na bóstwo ;)
Wszystko zniósł z anielskim spokojem a dźwięk suszarki zadziałał na niego usypiająco ...

354801880_962776908180229_8868353509473402700_n.jpg
Plik ściągnięto 8 raz(y) 36.57 KB

354636972_828531854816690_2238787472523445730_n.jpg
Plik ściągnięto 7 raz(y) 60.76 KB

_________________
Enka_i_piesełki
 
 
Enka_Arka_Sanka 
WARTA GOLDENA

Wiek: 35
Dołączyła: 25 Sty 2023
Posty: 766
Skąd: Gliwice
Wysłany: 2023-07-03, 16:48   

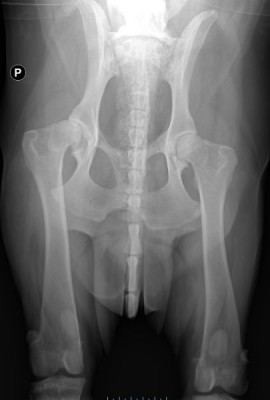
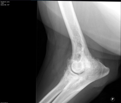
Jesteśmy z Bamberkiem po wizycie u ortopedy i niestety nie mamy dobrych wieści :(

Na pierwszy rzut oka widać, że psiak ma znaczne problemy z poruszaniem się. Bamberek porusza się sztywno i stwierdzono u niego kulawiznę II stopnia na prawej tylnej łapce. Ma również widocznie osłabiony odruch korektury, zwiększone napięcie mięśni lędźwiowo-biodrowych, ograniczenie w odwodzeniu stawów biodrowych oraz obniżenie napięcia mięśniowego mięśni udowych. Na zdjęciach RTG widać u niego dysplazję stawów biodrowych, zmiany zwyrodnieniowe i stany zapalne, które z pewnością sprawiają mu ból :(

Niestety to nie koniec jego ortopedycznych problemów. W badaniu fizykalnym Pan doktor stwierdził zwiększoną bolesność odcinka lędźwiowo-szyjnego kręgosłupa. Na RTG kręgosłupa ma widoczne zmiany typowe dla zaawansowanej postaci zespołu końskiego ogona, zaawansowaną spondylazę a na domiar złego przewężenia w przestrzeniach międzykręgowych m.in. w odcinku szyjnym co ma wpływ na jego czucie (kwestie neurologiczne) i stanowi ryzyko paraliżu w przyszłości :(

Przednie łapki Bamberka są w tragicznym stanie. Ma on bardzo ograniczoną ruchomość, praktycznie nie może zgiąć łokci. Psiak cierpi na dysplazję łokciową i zaawansowaną artrozę stawów łokciowych (prawdopodobnie już jako kilkumiesięczny psiak nieprawidłowo stawiał te łapki ale jego „właścicielowi” pewnie przez myśl nie przeszło, żeby go diagnozować :( )

Przy okazji wizyty robiliśmy również USG jamy brzusznej. Wykazało ono zmiany na nadnerczach, powiększenie śledziony i lekki stan zapalny trzustki jednak zdaniem Pana doktora są to nieprawidłowości typowe dla starszych psiaków…

Niestety nie ma szans na wyleczenie – jedynie na poprawę komfortu życia i utrzymanie go w stanie mobilnym jeszcze przez jakiś czas :beczy: .
Na tą chwilę Pan doktor zalecił nam Galliprant aby zmniejszyć stany zapalne i bólowe w obrębie stawów. Niestety bieżnia wodna jest przeciwskazana, bo grozi to zerwaniem więzadeł i w naszym przypadku – trwałym kalectwem.
Będziemy natomiast ustalać inne działania np. falę uderzeniową i masaże.

Musimy też zrzucić ok 5-7 kilo bo chłopak ma sporą nadwagę i to dodatkowo obciąża stawy (odkąd jest u nas ograniczamy mu porcje jedzenia ale waga tylko nieznacznie drgnęła w dół…)

Zaskoczeniem był dla nas śrut, który jest bardzo blisko kręgosłupa szyjnego. Tak – ktoś do niego strzelał :(
W związku z jego ogólnym stanem Pan doktor jest zdania, że lepiej go teraz nie ruszać, bo zapewne tkwi tam od dawna a przy zabiegu może dojść do naruszenia kręgosłupa i niepełnosprawności :/

Co mnie bardzo zasmuciło, zdaniem Pana doktora Bamberix jest starszy niż wynika z jego metryki (9 lat) – prawdopodobnie ma ok 12 lat … Wskazuje na to stan jego układu kostno-szkieletowego, narządów wewnętrznych i ząbków.

Na tą chwilę mam małą załamkę. 3majcie proszę kciuki za naszego Złotego chłopaka!

Miednica 2.jpg
Plik ściągnięto 11 raz(y) 20.63 KB

Miednica 1.jpg
Plik ściągnięto 8 raz(y) 33.76 KB

Łokieć 1.jpg
Plik ściągnięto 12 raz(y) 28.18 KB

Kręgosłup szyjny 1.jpg
Plik ściągnięto 10 raz(y) 24.56 KB

Kręgosłup piersiowy śrut 1.jpg
Plik ściągnięto 10 raz(y) 42.33 KB

Kręgosłup lędźwiowy 1.jpg
Plik ściągnięto 7 raz(y) 24.88 KB

_________________
Enka_i_piesełki
 
 
Enka_Arka_Sanka 
WARTA GOLDENA

Wiek: 35
Dołączyła: 25 Sty 2023
Posty: 766
Skąd: Gliwice
Wysłany: 2023-09-15, 21:19   

Nawet nie wiem, kiedy to zleciało ale Bamberix jest już u nas 3,5 miesiąca :shock:
Ostatnie 2 to okres intensywnej rehabilitacji - laser wysokoenergetyczny, fala uderzeniowa, bieżnia wodna, masaż powięziowy...
Chłopak jest tak wypieszczony przez ciocie z Aquawet, że aż mu zazdroszczę :P
No.. moze aż tak miło nie było bo dostał serię zastrzyków Milgammy (to ja byłam tą złą i niedobrą, która go goniła ze strzykawką ale w nagrodę były suszone szprotki, więc obyło się bez traumy.. ;) )

Zabiegi przyniosły fajne efekty - z lezącego staruszka, który "łaskawie" podnosił się, żeby wyjść na spacer stał się (umiarkowanie) energicznym psiakiem :)
Teraz Bomberix sam się domaga spacerów i to takich dłuższych, gdzie możemy sobie pozwiedzać okolicę (bez przystanków co kilka kroków na leżakowanie). W przypływie euforii nawet podbiegnie kawałek (szczególnie do sąsiada z naprzeciwka, który go uwielbia)
Ku naszej ogromnej uciesze Bomberix codziennie bawi się z pozostałymi psiaki - wyrywaja sobie pluszaki, uprawiają zapasy na podłodze :rotfl:

3majcie mocno łapki, żeby efekty zabiegów utrzymały się jak najdłużej :)

Bombiś śnieg rozmiar.jpg
Plik ściągnięto 7 raz(y) 65.83 KB

373465899_1383263215868118_7561377730522851720_n.jpg
Plik ściągnięto 7 raz(y) 64.12 KB

Zdjęcie WhatsApp 2023-07-04 o 17.47.00.jpg
Plik ściągnięto 8 raz(y) 115.15 KB

373471011_568266262027994_4897576641055398984_n.jpg
Plik ściągnięto 7 raz(y) 39.45 KB

_________________
Enka_i_piesełki
 
 
Enka_Arka_Sanka 
WARTA GOLDENA

Wiek: 35
Dołączyła: 25 Sty 2023
Posty: 766
Skąd: Gliwice
Wysłany: 2024-06-27, 15:55   

Dawno nie pisałam co u Bomberka ...

Chłopak jest już z nami ponad rok (jej... kiedy to zleciało?)

Zdrowotnie jesteśmy w miarę ustabilizowani, choć na lekach. Codziennie Bombiś przyjmuje pół tabletki Galliprantu i 2x dziennie Euthyrox na tarczyce.
Na tą chwilę zakończyliśmy zabiegi rehabilitacyjne ale raz w miesiącu jeździmy na masaż powięziowy, który spotyka się z dużą radością u pacjenta (leży, podtykam mu smaczki a ciocia do tego masuje :rotfl: :D ).
Zdaniem naszego ortopedy nie ma narazie potrzeby go prześwietlać, tym bardziej że z uwagi na serduszko i wiek każda narkoza niesie z sobą ryzyko.
Zaćma póki co nie postępuje i tyle o ile Misiek coś widzi.

W ostatnich tygodniach zauważyłam, że jego futerko nieco zmatowiało dlatego 15.07 umówiłam nas na kompleksowe badania krwi - dam znać jak tylko będziemy mieć wyniki.

Niestety metryki nie oszukamy - Bamberix to już seniorek dlatego jego spacerki w tym upalnym okresie są krótkie i większość dni przesypia (ale budzi się na dźwięk otwieranej lodówki :lol: )

W naszym domowym życiu w ostatnim czasie dużo się zmieniło. 19.02 nagle i niespodziewanie za Tęczowy Most pobiegła nasza sunia, Saneczka. Bambiś był z nia zżyty - zawsze leżeli koło mojego biurka, kiedy pracowałam i razem czekali przy lodówce na jedzenie... Na pewno odczuł jej brak.
W kwietniu los postawił na naszej drodze maleństwo - Bazylke. Adoptowaliśmy ją 13.04 i wywróciła spokojny świat Bomberka do góry nogami :D Na początku go zaczepiała ale on szybko pokazał jej granice i obecnie zdaje się nie zwracać na nią większej uwagi :)
Dalej podczas zrywów szaleństwa wariuje z Arią, głównie tarzając się po podłodze.

Mamy nadzieje, że jeszcze wiele lat przed nami ;)

Przechwytywanie 2.jpg
Plik ściągnięto 5 raz(y) 40.13 KB

448933872_738881671555723_4928152400748080933_n.jpg
Plik ściągnięto 8 raz(y) 56.77 KB

448189050_1184259702778177_550290397534279096_n.jpg
Plik ściągnięto 8 raz(y) 29.3 KB

436888846_1117593839474512_7809466161263403213_n.jpg
Plik ściągnięto 9 raz(y) 37.43 KB

436701226_1541273166456181_2575600395806590640_n.jpg
Plik ściągnięto 10 raz(y) 91.12 KB

436344619_1140475957147608_5231911820706712399_n.jpg
Plik ściągnięto 9 raz(y) 29.73 KB

436294891_336863019408237_4337724788229161579_n.jpg
Plik ściągnięto 10 raz(y) 142.53 KB

436175966_474214461777682_4306203478875676193_n.jpg
Plik ściągnięto 8 raz(y) 302.87 KB

440751919_780462287524594_255718960275493023_n.jpg
Plik ściągnięto 7 raz(y) 56.37 KB

_________________
Enka_i_piesełki
 
 
Enka_Arka_Sanka 
WARTA GOLDENA

Wiek: 35
Dołączyła: 25 Sty 2023
Posty: 766
Skąd: Gliwice
Wysłany: 2024-07-16, 11:21   

Wczoraj Bombiś miał pobieraną krew.
Samo badanie zniósł dzielnie, w nagrodę była suszona szprotka, więc szybko zapomniał, że ktoś go ukłuł :lol:

Jeśli chodzi o tarczycę, to jest stabilnie (nie zmieniamy dawki Euthyroxu).
Natomiast w badaniach wyszło za mało czerwonych krwinek, dlatego będziemy podawać żelazo i hemoglobinę z Pokusy.
_________________
Enka_i_piesełki
 
 
Enka_Arka_Sanka 
WARTA GOLDENA

Wiek: 35
Dołączyła: 25 Sty 2023
Posty: 766
Skąd: Gliwice
Wysłany: 2025-05-11, 12:09   

Co u nas nowego?

Wyniki morfologii (o których pisałam w lipcu) udało nam się ustabilizować .
Przyznam, że najadłam się strachu bo wyszedł nam bardzo niski poziom retikulocytów i miałam w głowie różne scenariusze :-(
Na szczęście podczas styczniowej kontroli wszystko wyszło w normie ;-)
Zdrowotnie jest u nas "stabilnie" - jak wiecie Bombiś trafił do nas z ogromnymi zwyrodnieniami w stawach i zanikami mięśni. Niestety z racji wieku i zaawansowania tych zmian możemy mu pomagać tylko doraźnie ...
Dostaje Galliprant, przyjął serię zastrzyków z Millgamy.
Rozważaliśmy z lekarzem podanie Librelli, jednak obecnie jeszcze się na to nie zdecydowaliśmy.
Niestety widać po Bombku upływ czasu (zdaniem weta kiedy do nas trafił miał ok 12 lat, więc obecnie - 14) - nieco bardziej posiwiał na pyszczku, większość dnia przesypia. Rano potrzebuje pomocy, żeby wstać z legowiska (w ciągu dnia nie ma z tym problemu), nie wchodzi już po schodach - podczas wizyt u weterynarza musimy go wnosić. Pojawił się również problem z "nocnymi wpadkami" :(
Zauważyłam zachowanie, które mogłoby wskazywać na początek demencji - kiedy przebywamy na podwórku to często Bomber po prostu "szczeka w przestrzeń" - bez żadnego kontekstu. Po prostu leży i szczeka... :(
Na co dzień jest pociesznym misiakiem :-> Kiedy pracuję do leży obok mojego biurka, wieczorem leży "pod nogami" jak siedzimy na sofie i zbiera sobie głaski :lol:
Na pewno ze słuchem nie ma problemów, bo jak tylko otwieramy lodówkę to szybko do niej tupta ;)

IMG_6709.jpg
Plik ściągnięto 7 raz(y) 1.62 MB

IMG_6658.jpg
Plik ściągnięto 6 raz(y) 1.38 MB

IMG_6813.jpg
Plik ściągnięto 4 raz(y) 1.29 MB

IMG_6791.jpg
Plik ściągnięto 4 raz(y) 1.24 MB

IMG_6615.jpg
Plik ściągnięto 5 raz(y) 891.44 KB

IMG_6522.jpg
Plik ściągnięto 4 raz(y) 1.43 MB

_________________
Enka_i_piesełki
 
 
Wyświetl posty z ostatnich:   
Odpowiedz do tematu
Nie możesz pisać nowych tematów
Nie możesz odpowiadać w tematach
Nie możesz zmieniać swoich postów
Nie możesz usuwać swoich postów
Nie możesz głosować w ankietach
Nie możesz załączać plików na tym forum
Możesz ściągać załączniki na tym forum
Dodaj temat do Ulubionych
Wersja do druku

Skocz do:  

Powered by phpBB modified by Przemo © 2003 phpBB Group
Support forum phpbb by phpBB3 Assistant